Ver: Anexos – Caso clínico. Intervención de prótesis de hombro por fractura-luxación glenohumeral, al final del artículo. Ejecución. Las intervenciones y actividades han sido llevadas a cabo con la finalidad de resolver el problema total o parcialmente en relación con los factores relacionados y sus manifestaciones clínicas.. Introducción: La luxación glenohumeral posterior (LGHP) es una lesión de diagnóstico poco frecuente que se asocia a traumatismos de alta energía, deporte, convulsiones y electrocuciones. Con frecuencia el diagnóstico es omitido debido a que en la mayoría de veces no se observa deformidad llamativa en la articulación lesionada y las.
4 síntomas de la luxación de hombro Traumacor
CASO CLÍNICO. FISIOTERAPIA EN LUXACIÓN ANTERIOR DE HOMBRO
El esfenoides Luxación anterior de hombro. 2 imágenes 1 caso.
Luxación inferior de hombro. A propósito de un caso ADO Medical
Luxacion Del Hombro PDF Hombro Sistema esquelético
Luxofractura posterior de hombro. Caso clínico y análisis quirúrgico
Luxación o Inestabilidad del Hombro Ortopedista Dr. Ismael Alba
CIRUGÍA de la LUXACIÓN de HOMBRO COMPLEJA YouTube
Fisioterapia Luxaciones Hombro Cemutem
Luxación de hombro ¿qué es y cómo se trata?
Luxación de Hombro Causas, Síntomas y Tratamientos Blog Clínica
Lesión del complejo suspensorio del hombro. A propósito de un caso
Paciente masculino de 32 años con luxación en hombro izquierdo y
Luxación posterior de hombro Asepeyo salud
Cirugía Luxación Hombro. Shoulder Instability Surgery. Dislocated
Caso clinico “Luxación de hombro” traumatologia!!!
Luxación Del Hombro; Luxación Glenohumeral
La luxación de hombro Trauma Granada
Luxación de hombro causas, síntomas, tratamiento y prevención Pmedic
Caso clínico Luxación glenohumeral anterior bilateral
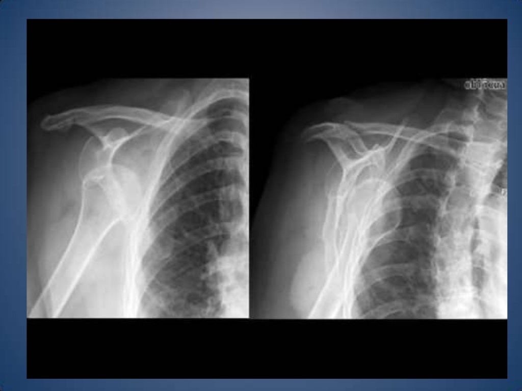
Luxación glenohumeral posterior traumática: Reporte de caso Reporte de Caso Traumatic posterior glenohumeral dislocation: A case report Isabel Silva-Ocas1,2,a, Víctor Zamora-Mostacero2,a, Juan Vargas-Ferrer2,a, Milded Silvestre-Castro2,a, Jesús Rios-Mauricio3,b, Sandro Rodriguez-Vasquez4,b 1.. Introducción. El hombro es la articulación con mayor rango de movimiento de todo el cuerpo y con mayor riesgo de luxación que cualquier otra articulación, pues se encuentra documentada en más del 45% de las luxaciones, con una incidencia de 17/100.000 al año 1,2.. Con la globalización y la aparición de nuevos deportes recreativos es posible que la inestabilidad de esta articulación se.